티스토리 뷰

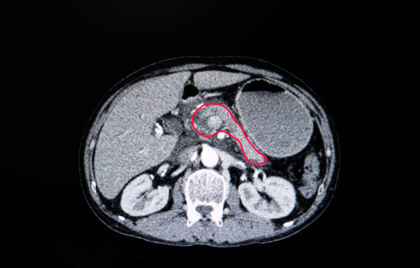
췌장암의 치료방법에는 수술, 항암 화학요법, 방사선요법 등이 있으며 병기와 환자의 상태에 따라 치료방법이 결정됩니다. 조기 발견한 췌장암의 경우 수술이 가능하며 가장 효과적인 치료로 췌장의 암 종양을 제거하게 됩니다. 떼어낸 암종양의 조직 검사를 통해 종양의 유형을 파악하여 이후의 치료방침을 결정하게 돕니다. 췌장암 환자의 20% 내외로 수술이 가능하지만 수술 후 담낭절제, 십이지장절제, 췌장 일부 절제, 등으로 극심한 통증을 동반하며 완화적 치료와 함께 수술 후 부작용을 케어하지 않으면 위험한 상황에 직면할 수 있으므로 일정 기간 회복이 될 때까지는 환자나 보호자가 긴장을 늦추기가 어렵습니다. 췌장의 머리 부분에 종양이 생긴 경우에 시행하는 절제술로 두 가지가 있는데 휘플이라는 의사가 처음 시도한 수술 방법으로 그의 이름을 붙이게 되었으며 위의 유문의 보전 여부에 따라 구분됩니다.
휘플수술
췌장의 머리, 십이지장, 소장 일부, 위의 하부, 총담관, 담낭을 절제하고 소장을 남겨진 췌장과 담관, 위의 상부에 붙여줍니다. 췌장의 조직 자체가 두부처럼 부서지는 조직이어서 소장과 연결 시 부서지기 쉬우며 연결 부위에 부작용이 많이 나타납니다.

휘플수술 후 부작용
-식후 팽만감 음식 먹고 나면 속이 불편하고 잘 안 내려감
-고형식 식사를 많이 하게 되면 음식이 잘 내려가지 않고 고여있게 되어 복통, 토하기도 함
-덤핑 증후군 음식이 소장으로 너무 빨리 내려가서 생기는 증상
-먹은 지 2시간 이내 배가 아프고 설사가 나고 식은땀이 남
-유당 불내증 췌장 효소가 떨어져서 우유를 소화하지 못함
-역류성 담도염 담도에 있는 담즙 배출조절 괄약근이 없으므로 십이지장안에 있는 세균이 담도 쪽으로 쉽게 올라온다
-과식하면 장의 압력이 높아지고 타고 올라감
갑자기 열이 나고 배가 아픈 증상으로 심하면 간에 염증이나 농양생김









유문보존 췌십이지장 절제술
(PPPD: pylorus preserving pancreaticoduodenectomy)
췌장, 십이지장, 담낭, 담관의 일부를 제거하는 수술로 위장에서 소장으로 음식물의 흐름을 조절하는 유문을 그대로 남겨두어 정상적인 위기능을 유지하고 수술 후 합병증을 줄일 수 있습니다. 췌장의 머리 부분에 종양이 있을 때 가능한 수술로 어려운 수술로 최근에는 수술기술의 발달로 수술사망률을 1-2% 이하로 감소하였다. 하지만 수술 후 합병증이 40% 내외로 발생하고 있습니다. 가장 흔한 경우는 췌장문합부 누출, 위배출 지연, 장협착 등입니다.
항암 화학요법
항암제를 사용하여 암세포를 없애는 치료로 암세포뿐만 아니라 우리 몸에서 정상으로 빨리 증식하는 세포에도 손상을 주어 탈모, 구역질, 구토, 구내염, 설사, 백혈구 감소 등의 여러 가지 부작용이 생길 수 있습니다. 수술 후 보조항암요법으로 재발률을 감소하고 생존율이 향상된 것에 대한 보고가 있으며 여러 약제를 사용한 병합요법이 사용되고 있습니다. 절제술 이후 항암화약요법과 방사선 요법의 병용으로 무재발 생존율을 증가시킨다고 보고되고 있지만 일부 부정적인 역할을 미친다는 보고도 있습니다. 전이 진행성 췌장암의 경우 수술이 어려운 경우가 많으며 폴피리녹스, 젬시타빈+ 아브락산, 오니바이드 등의 치료제가 있으며 항암제에 따라 메스꺼움, 구토, 피로, 탈모, 식욕부진, 구내염 등의 부작용이 나타나며 신경손상, 손발 져 림, 다리부종, 위경련 등의 다양한 부작용이 나타납니다.
방사선치료
방사선의 생물학적 효과는 정상세포보다 종양세포에서 높아서 적정한 선량의 방사선이 조사될 경우 시간이 경과함에 따라 종양세포는 사멸하고 정상세포틑 다시 회복하게 됩니다. 이러한 차이를 이용해 악성 종양을 치료하지만 급성 및 만성 부작용이 발생할 가능성이 있습니다.
수술 후 관리방법
정적인 생활방식과 비만이 암발생의 25%의 요인으로 알려져 있습니다. 따라서 수술 후 신체활동과 운동이 재활치료의 핵심이라 할 수 있습니다. 암환자들의 운동은 크게 유산소운동, 근력운동, 유연성 운동을 기본으로 하고 수술 전후 폐합병증 예방을 위해 호흡근 운동을 함께 해야 합니다. 아령, 세라밴드, 맨손체조, 계단 오르기 등 지속적으로 운동을 찾아서 하는 것이 좋습니다. 시기별 운동방법도 차이가 있는데 수술 전에는 호흡근 운동과 근력운동 유산소 운동을 통해 체력을 비축하고 수술 후 입원기간 동안은 폐렴, 혈전 등의 합병증을 예방등에 도움이 되는 호흡훈련법을 이용한 심호흡운동을 하고 근력운동과 유연성운동도 침상 위에서 간단히 할 수 있는 운동을 하고 수술 부위 복부가 당기는 동작은 피해야 합니다. 퇴원 후 2-3개월은 복부에 무리 가는 운동이나 심한 근력운동을 피해야 하고 걷기, 실내자전거등의 가벼운 운동을 하고 3개월 이후 기존에 하던 방식의 운동을 하도록 합니다.
췌장암 의심증상 9가지
췌장은 음식물의 소화효소와 내분비 호르몬에도 역할을 많이 하고 있는 아주 중요한 장기입니다.침묵의 살인자로 알려져 있는 췌장암을 조기에 발견하기 위해선 꼭 알아두어야 할 의심증상에
winner.envie77.com
췌장암 병기와 수술 가능 여부
췌장암 병기 췌장암은 병기에 따라 수술가능 여부가 판가름 나는 질병으로 수술로 종양을 떼어 낼 수 있을 경우 생존확률이 크게 개선되는 상황이어서 암에 대해 인지를 하고 난 이후에는 췌장
winner.envie77.com
속쓰림에 좋은 음식, 항암 부작용
아침에 일어나서 가끔 경험하게 되는 속 쓰림으로 어떤 음식을 먹어야 좋을지 아니면 굶는 게 좋을지 고민하게 되는 날이 있습니다. 위의 기능과 위가 쓰릴 때 좋은 음식들과 항암제 등 약물치
winner.envie77.com